Είδη Ορθοδοντικών Μηχανισμών

Ορθοδοντικοί Διαφανείς Νάρθηκες

Επιθυμείτε ίσια δόντια χωρίς σιδεράκια;
Το σύστημα με νάρθηκες είναι αρκετά αποτελεσματικό σε πολλές περιπτώσεις που χρήζουν ορθοδοντικής θεραπείας.
Διαφανείς, λεπτοί, αόρατοι νάρθηκες για πάνω και κάτω δόντια θέτουν νέα δεδομένα στην ορθοδοντική.

Γλωσσική Ορθοδοντική

Τα γλωσσικά άγκιστρα είναι τα σιδεράκια που τοποθετούνται στην εσωτερική (γλωσσική) επιφάνεια των δοντιών. Κατασκευάζονται εξατομικευμένα για κάθε ασθενή και η πιστή αναπαράσταση της μορφολογίας του δοντιού, που επιτυγχάνεται με τη βοήθεια του υπολογιστή, μειώνει τις πιθανότητες ενόχλησης της γλώσσας στο ελάχιστο.

Διαφανή Σιδεράκια

Τα διαφανή σιδεράκια χρησιμοποιούνται για λόγους αισθητικής, κυρίως σε ενήλικες ασθενείς. Διαφέρουν από τα συνηθισμένα μεταλλικά σιδεράκια στο υλικό κατασκευής τους (κεραμικά, πορσελάνινα, ζαφειρένια), το οποίο προσομοιάζει κατά το δυνατόν το χρώμα του δοντιού. Οι προδιαγραφές κατασκευής τους είναι οι ίδιες με τα μεταλλικά άγκιστρα, γεγονός που αποδίδει το ίδιο αποτέλεσμα κατά την ορθοδοντική θεραπεία.

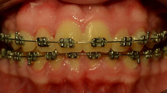
Μεταλλικά σιδεράκια

Τα μεταλλικά σιδεράκια είναι τα πιο παλιά και διαδεδομένα σιδεράκια. Συγκολλούνται πάνω στην επιφάνεια των δοντιών. Τα αγκίστρα (σιδεράκια) αυτά έχουν μία σχισμή πάνω στην οποία τοποθετείται το σύρμα το οποίο μετακινεί τα δόντια στην επιθυμητή θέση.
Το πλεονέκτημα των αγκίστρων αυτών είναι το χαμηλότερο κόστος σε σχέση με τα διαφανή σιδεράκια αλλά μειονεκτούν αισθητικά καθώς είναι περισσότερο εμφανή.